A New Kind of Dental Experience
Blending Esthetic Excellence with Minimally Invasive Care
Whether you’re seeking a subtle enhancement or a complete smile transformation, Dr. Melissa Seibert offers experience and minimally invasive techniques backed by evidence-based care. Here, your comfort and confidence come first.
You Deserve a Dentist Who Sees the Whole Picture.
Tired of rushed appointments, unnecessary treatments, or feeling like just another number?
You’re not alone—and you don’t have to settle.
At our office, we slow down, listen, and partner with you to protect your smile and overall well-being. Whether you’re overdue for a cleaning, struggling with dental anxiety, or ready to finally invest in your smile—we’re here for you.
NICE TO MEET YOU
I'm Dr. Melissa Seibert, DMD, MS, ABGD, FAGD
Hi there, it’s so nice to meet you! I’m Dr. Melissa Seibert. I’m an Air Force veteran, and throughout my career—both in and out of uniform—I’ve been guided by a deep commitment to service, precision, and excellence.
In my practice, it’s of the utmost importance to me to deliver care that’s custom-tailored to you. I specialize in minimally invasive dentistry because I believe your natural tooth structure is worth protecting. My goal is always to help you stay healthy, feel confident, and preserve what nature gave you—while addressing your concerns with empathy and integrity.
I’m passionate about esthetic dentistry and love partnering with patients to create treatment plans that honor both form and function. Whether you’re looking to enhance your smile or preserve what you already love about it, I’m here to help you achieve your goals with care and attention to detail.
Outside of clinical practice, I lecture around the world on minimally invasive techniques and have authored numerous publications on the topic. Teaching fellow dentists how to care more conservatively and effectively for their patients is one of the great honors of my career.
Looking forward to getting to know you!

Common Concerns We Hear:
- “I hate going to the dentist—it always feels rushed or painful.”
- “I'm looking for a minimally invasive solution for a better smile”
- “I don’t want to be pressured into something I don’t need.”
- “I want my smile to look better, but I don’t know where to start.”
- “I’ve been told I need major work, and I’m just not sure what’s truly necessary.”
Our Philosophy is Different.
-
Conservative, Science-Based Care – We don’t believe in drilling away healthy teeth. We believe in preserving what nature gave you.
-
Natural, Esthetic Results – You’ll leave with a smile that feels like you—just healthier, stronger, and more confident.
-
Honest Conversations – We’ll walk you through every option. You’ll never feel pushed into treatment you don’t need.
-
Kind, Judgement-Free Atmosphere – No matter how long it’s been or what you’re dealing with, you’ll be welcomed here.
MAKE AN APPOINTMENT
Ready to feel great about your smile again?

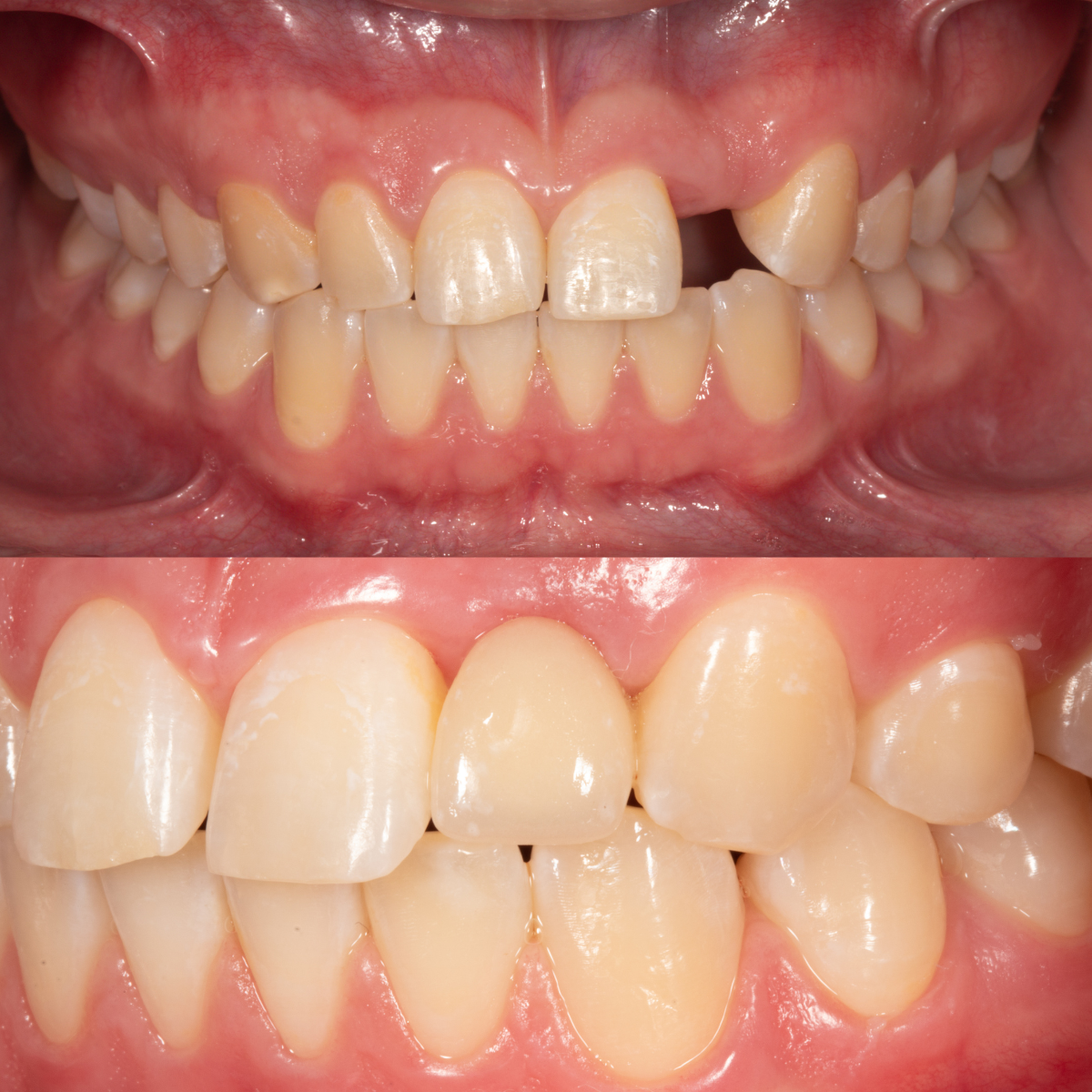
Minimally Invasive Dentistry
I believe in preserving your natural tooth structure whenever possible. My approach is gentle, conservative, and focused on long-term oral health.

Esthetic Dentistry
Whether you’re looking for a brighter smile or subtle refinements, I create personalized, natural-looking esthetic treatments designed to match your goals and enhance your confidence.

Dental Implants
Dental implants are a long-lasting way to replace missing teeth and restore your smile. I use advanced techniques to ensure your results are comfortable, functional, and beautifully integrated.

Overlays and Crowns
I offer custom ceramic overlays and crowns that protect your teeth while preserving as much healthy tooth structure as possible. The result is strong, beautiful, and built to last.

General Dentistry
From preventive care to everyday restorative treatments, I provide thoughtful, personalized dentistry to help you maintain a healthy smile at every stage of life.

I'm Passionate About My Profession.
Dr. Melissa Seibert, DMD, MS, ABGD, FAGD is a nationally recognized dentist, educator, and thought leader in evidence-based clinical dentistry. An Air Force Academy graduate and veteran, she earned her dental degree from the University of Louisville School of Dentistry. Dr. Seibert completed a prestigious three-year Advanced Education in General Dentistry (AEGD) residency, during which she also obtained a Master’s in Oral Biology.
She is a Diplomate of the American Board of General Dentistry (ABGD) and a Fellow of the Academy of General Dentistry (FAGD). Dr. Seibert has authored numerous peer-reviewed research publications and clinical articles focusing on dental materials and restorative dentistry. She frequently lectures to national and international audiences and has established a peer-led mastermind group for top clinicians to collaborate and share expertise.
Dr. Seibert is the creator and host of Dental Digest Podcast, the #1 dental podcast and among the top 1% of all podcasts globally. Through this platform, she delivers cutting-edge, evidence-based insights from some of the most respected names in dentistry.
She is the founder of Elevated GP, a continuing education platform designed to empower general dentists with high-level, practical training through on-demand courses, live webinars, articles, and community collaboration.
Dr. Seibert serves as a consultant and key opinion leader (KOL) for leading dental companies, including:
- Tokuyama Dental
- Cosmedent
- Brasseler USA
- Henry Schein Dental
- Spicerona
- InterviewAI
- Dentsply Sirona
- Ivoclar
- Clinician's Choice
In addition to her industry work, Dr. Seibert is on faculty at Creighton School of Dentistry and previously participated in a semester exchange at West Point. She is also an accomplished athlete, having completed five marathons, and is a dedicated wife to a physician and mother.
In 2022, she was honored as one of Incisal Edge Magazine’s Top 40 Under 40 Dentists in America, recognizing her commitment to advancing the profession through education, innovation, and leadership.
Outside of dentistry, Dr. Seibert enjoys spending time with her husband, a physician, and their 16-month-old daughter, Serena. As a dedicated runner and yogi, she loves starting her day with movement—and winding down with a sauna session or cold plunge. The family is completed by their two beloved dachshunds.
WHERE TO FIND ME
About Angus Dentistry
The mission at Angus Dentistry is to deliver to our patients the highest quality of dentistry in the same manner that we would want to be given to ourselves and our loved ones. Our dentists love serving Midlothian and Richmond.
We not only have the expertise in all fields of dentistry, but we also take great pride in the compassionate care we give, the time, and education we provide to our patients based on their specific needs.
We often see patients for their entire lives, sometimes over three generations. We are so grateful to create long-lasting relationships with you and your family. We want to help you obtain or maintain the smile you’re dreaming of.

You’re Just One Visit Away from a Beautiful Smile.
If it’s been a while… that’s okay. If you’re nervous… we get it. And if you’re ready to love your smile again—we’re here to help make that happen.
Become a Patient!